Dental Cleaning Toronto – Krystal Dental Hygiene

Looking for a gentle, thorough dental cleaning in Toronto? At Krystal Dental Hygiene, We use Airflow® Guided Biofilm Therapy — the most advanced preventive care technology available — in a calm, boutique studio in Fort York. No referral needed, safe for implants and braces, and designed for patients who want a better experience.

✓ EMS Airflow® Technology ✓ Pain-Free & Gentle ✓ No Referral Needed ✓ Direct Billing & CDCP
📞 Call Us

Why Preventive Care Is the Foundation of a Healthy Smile

Regular professional cleanings are about much more than a polished smile — they’re your first line of defense against cavities, gum disease, and long-term oral health issues. At Krystal Dental Hygiene, every session includes thorough biofilm removal, personalized oral health coaching, and advanced Airflow® GBT technology. If you’re dealing with sensitive teeth, We’ll adapt the treatment to keep you comfortable from start to finish. Pair your cleaning with our professional teeth whitening for a complete smile transformation.

Why Patients Choose Krystal Dental Hygiene for Their Oral Care

I’m Krystyna, and I opened Krystal Dental Hygiene because I believe everyone deserves a hygiene visit that feels personal, unhurried, and genuinely comfortable. Too many people dread their cleaning appointment — and I understand why. Traditional scraping can be noisy, uncomfortable, and stressful. That’s why I chose to build my independent practice around EMS Airflow® technology with Guided Biofilm Therapy — widely recognized as the gold standard in preventive dental care worldwide.

At my Fort York studio, there’s no rushed schedule, no unnecessary upselling, and no dentist-office anxiety. Just one-on-one care from a registered dental hygienist who takes the time to explain every step, answer your questions, and make sure you leave feeling confident about your oral health. Whether you’re coming from CityPlace, King West, Liberty Village, or anywhere in downtown Toronto — my studio is easy to reach and designed to feel more like a spa than a clinic.

What Is Airflow® Guided Biofilm Therapy (GBT)?

Guided Biofilm Therapy represents a revolutionary approach to preventive oral care. Developed by EMS Dental, this evidence-based protocol transforms the way dental hygienists deliver cleanings. Instead of relying on manual scraping tools, rubber cups, or abrasive polishing pastes, GBT uses the innovative Airflow® handpiece to gently yet effectively remove plaque, stains, and harmful bacteria from your teeth, gums, and hard-to-reach areas.

Here’s how we perform the full GBT protocol at our studio: first, a disclosing agent reveals hidden biofilm on your teeth, so we can both see exactly where bacteria are hiding. Then, the Airflow® device delivers a controlled stream of air, warm water, and fine erythritol powder for a deep, precise clean. The result? Up to 100% biofilm removal without any damage to your enamel, restorations, implants, or gums. It’s especially effective for removing stubborn coffee and tea stains that build up over time. The entire experience is faster, safer, and far more comfortable than anything you’ve experienced at a traditional dental office.

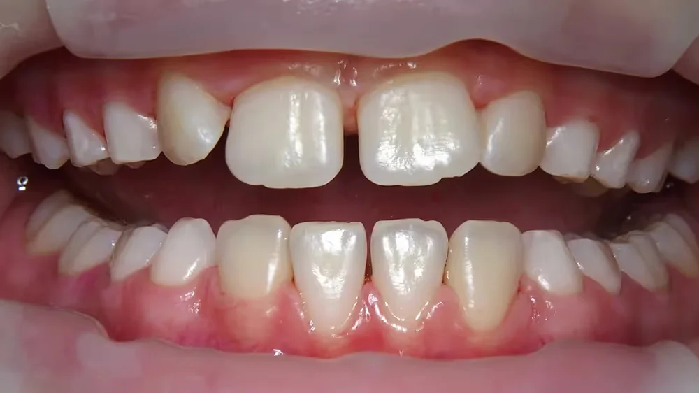
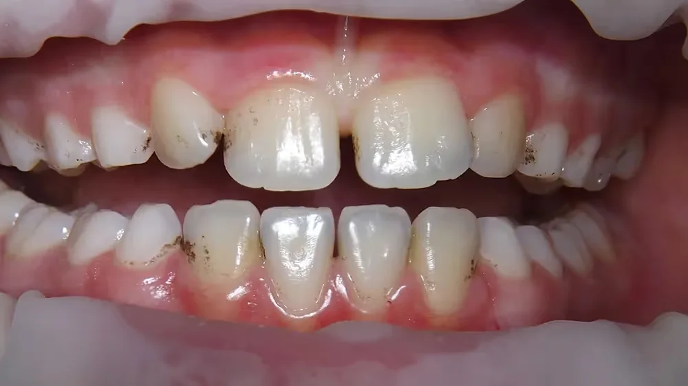
Before & After – Real GBT Cleaning Results

See what Guided Biofilm Therapy looks like in action. Before each cleaning, we apply a natural purple disclosing dye that temporarily stains the biofilm (plaque and bacteria) on your teeth. This way, we can both see every area that needs attention. Then the Airflow® system removes every trace — leaving behind clean, smooth, and naturally bright teeth.

Adult Patient

Before GBT cleaning – adult patient teeth with biofilm staining revealed by disclosing dye

Before

After GBT cleaning – adult patient teeth clean and stain-free after Airflow treatment

After

Child Patient

Before GBT cleaning – child patient teeth with plaque accumulation highlighted

Before

After GBT cleaning – child patient teeth clean and polished after Airflow treatment

After

Airflow® GBT vs. Traditional Dental Cleaning

Not all hygiene visits are created equal. Here’s how the Airflow® Guided Biofilm Therapy We use at our studio compares to the traditional cleaning methods used in most dental offices.

Feature Airflow® GBT (Krystal Dental) Traditional Cleaning
Cleaning Method Gentle stream of air, warm water & fine powder Manual scraping & ultrasonic vibration with abrasive paste
Comfort Level ✓ Pain-free, no scraping or vibration ⚠ May cause discomfort and sensitivity
Biofilm Removal Up to 100% with disclosing agent guidance Often misses plaque in hard-to-reach areas
Tooth & Enamel Safety ✓ Non-abrasive, safe for enamel ⚠ Can scratch teeth and restorations
Safe for Implants & Braces ✓ Gold standard for implant & orthodontic care ✗ Risk of scratching or damage
Stain Removal ✓ Effectively removes coffee, tea, wine stains Limited stain removal capability

Who Benefits Most from Airflow® Cleaning?

While Guided Biofilm Therapy is ideal for everyone, we especially recommend it for patients who need a little extra gentleness or have specific oral health considerations:

🦷 Sensitive Teeth

Warm water at 40°C and zero scraping make Airflow® the ideal solution if you dread traditional cleanings. Learn more about managing tooth sensitivity.

😰 Dental Anxiety

No sharp tools, no vibration, no discomfort. My gentle approach in a calm, boutique setting helps anxious patients feel completely at ease.

🦾 Implants, Veneers & Crowns

Airflow® is the gold standard for cleaning around dental restorations without scratching or damaging delicate surfaces.

🩹 Braces & Invisalign

The ultimate cleaning solution for orthodontic patients — easily reaches around brackets, wires, and aligners without causing damage.

☕ Coffee, Tea & Wine Lovers

Airflow® effortlessly removes persistent surface stains from daily beverages. For tips on prevention, check out our guide on managing coffee & tea stains.

🦠 Periodontal Care

GBT safely removes bacterial deposits from below the gumline, making it essential for managing and preventing gum disease. Don’t forget that proper flossing at home supports your results between visits.

Meet Krystyna – Your Dental Hygienist

Krystyna Korolchuk – Registered Dental Hygienist at Krystal Dental Hygiene Toronto

Hi, I’m Krystyna Korolchuk, RDH — the founder and your dedicated dental hygienist at Krystal Dental Hygiene. I’ve been passionate about dental hygiene for over 8 years, and I built this independent studio so I could focus on what matters most: giving every patient the time, attention, and quality of care they deserve.

Credentials & Education

  • Registered Dental Hygienist (RDH) — Licensed by the College of Dental Hygienists of Ontario (CDHO)
  • 🎓 Diploma in Dental Hygiene — Ministère de l’Éducation et de l’Enseignement supérieur (Québec)
  • 📋 EMS Guided Biofilm Therapy (GBT) Certified — Advanced biofilm management training
  • 🌍 Languages: English, French, Ukrainian, Russian, Spanish
Krystyna Korolchuk – College of Dental Hygienists of Ontario (CDHO) Registration Certificate

CDHO Registration

Krystyna Korolchuk – EMS Guided Biofilm Therapy (GBT) Professional Certification

GBT Certification

Krystyna Korolchuk – Diploma in Dental Hygiene, Ministère de l’Éducation et de l’Enseignement supérieur

Diploma in Dental Hygiene

“I’ve worked in large clinics and private practices, and I can tell you — the best results come when a hygienist has the time to truly focus on each patient. That’s exactly why I founded Krystal Dental Hygiene. Every appointment is just you and me, no rush, no assembly line.”

— Krystyna Korolchuk, RDH

What Our Patients Say About Their Cleaning Experience

See all reviews on our Google Business Profile

Google Reviews
AD

Anastassia Dmitrieva

★★★★★

“I had a fantastic experience with Krys the dental hygienist. They were gentle, thorough, and explained everything clearly. My teeth have never felt cleaner! Highly recommend for anyone who’s nervous about cleanings.”

RB

Ross Barsuk

★★★★★

“Krys is the best dental hygienist I’ve ever had! They’re always cheerful, welcoming, and make me feel completely at ease. Even during deep cleanings, they’re so gentle and efficient. I never feel rushed, and they always take time to answer my questions. Highly recommend!”

DG

Denis Goncharov

★★★★★

“The clinic is spotless, modern, and equipped with the latest technology, which made me feel confident I was in great hands. They truly care about their patients — they took the time to explain every step of my treatment, answered all my questions, and made sure I was comfortable throughout the entire process. Whether it’s a routine cleaning or more complex procedures, you can tell they genuinely strive to deliver the best results.”

Convenient Oral Care – Serving All of Downtown Toronto

Our Fort York studio is centrally located at 614 Fleet Street, Suite 113 — making professional dental care accessible to residents across downtown Toronto and the GTA.

Immediate Area
Fort York • CityPlace • Bathurst Quay • Harbourfront
Downtown Core
King West • Liberty Village • Entertainment District • Queen West
Greater Toronto
Etobicoke • North York • Scarborough • Mississauga • Vaughan • Markham

Cost of Dental Cleaning in Toronto

We believe in transparent pricing — no hidden fees, no surprise charges. Every session includes Airflow® Guided Biofilm Therapy technology, personalized oral health coaching, and as much time as you need. We offer direct billing to most major insurance providers and support the Canadian Dental Care Plan (CDCP) for eligible patients. All prices are in Canadian dollars.

New Patient Adult

Comprehensive first visit

$250

1 hour 30 minutes

Returning Adult

Regular maintenance visit

$230

1 hour

New Patient Child

First visit for young smiles

$130

1 hour

Returning Child

Regular kids’ maintenance

$100

1 hour

Key Benefits of Airflow® GBT at Our Toronto Studio

Choosing Guided Biofilm Therapy means choosing the most advanced, comfortable, and effective preventive care available. Here’s what sets my approach apart from conventional methods.

✓ Pain-Free & Spa-Like

Warm water at 40°C and gentle pressure make your hygiene visit feel like a spa treatment, not a medical procedure.

✓ No Referral Needed

Book directly with me — no dentist referral required. I’m an independent registered dental hygienist in Toronto.

✓ Faster & Deeper Clean

Up to 3x faster compared to traditional methods, with superior biofilm and stain removal results.

✓ Whole Body Health

Removing 100% of harmful bacteria reduces the risk of systemic health issues linked to poor oral hygiene.

Frequently Asked Questions

What is Airflow® dental cleaning with Guided Biofilm Therapy?

Airflow® GBT is the most advanced cleaning system we use at our Fort York studio. It delivers a controlled stream of air, warm water, and fine erythritol powder to gently remove plaque, stains, and bacteria from your teeth and gums. Unlike traditional scraping methods, it’s completely pain-free, non-abrasive, and safe for all dental restorations including implants, veneers, and braces. I follow the full GBT protocol for every cleaning session.

Does Airflow® dental cleaning hurt?

Not at all. The treatment is completely pain-free. I warm the water to body temperature (around 40°C) to reduce sensitivity, and there is no scraping or vibration involved. Even patients with severe dental anxiety or extreme tooth sensitivity find the experience comfortable and spa-like.

How much does a dental cleaning cost at Krystal Dental Hygiene?

My prices range from $100 to $250, depending on the appointment type. New Patient Adult: $250 (1h 30min), Returning Adult: $230 (1h), New Patient Child: $130 (1h), Returning Child: $100 (1h). All sessions include Airflow® GBT technology at no extra charge. No referral needed — book directly online or call +1 (437) 637‑0587.

Is Airflow® cleaning safe for implants, veneers, and braces?

Absolutely. Airflow®’s gentle action is recognized as the gold standard for maintaining dental implants, crowns, veneers, braces, bridges, and Invisalign aligners. The non-abrasive powder effectively cleans around all restorations without scratching or damaging their surfaces.

Do I need a referral to book a dental cleaning?

No referral is needed! As an independent dental hygiene studio in Fort York, Toronto, you can book your cleaning directly with me. Simply book online through the website or call +1 (437) 637‑0587. I welcome clients from CityPlace, King West, Liberty Village, Harbourfront, and across the Greater Toronto Area.

How often should I get a professional dental cleaning?

I recommend a professional cleaning every 6 months for most patients. However, those with periodontal concerns, orthodontic appliances, or a higher risk of gum disease may benefit from more frequent visits every 3–4 months. During your appointment, I’ll assess your oral health and create a personalized schedule tailored to your needs.

Do you offer direct billing and accept the Canadian Dental Care Plan (CDCP)?

Yes, we offer direct billing to most major insurance providers. We also support the Canadian Dental Care Plan (CDCP) for eligible patients. Our Fort York Toronto studio makes it easy to use your dental benefits for professional dental cleaning services. Contact us to verify your coverage — no referral needed.

Find Us – Fort York, Toronto

Our studio is conveniently located at 614 Fleet Street, Suite 113 — minutes from CityPlace, Harbourfront, King West, Liberty Village, Bathurst Quay, and the Entertainment District. Patients from Queen West, Trinity Bellwoods, Fashion District, Kensington Market, Chinatown, St. Lawrence, and the Distillery District visit regularly, and we also welcome clients from across the GTA.

✉️ Email

info@krystaldental.ca

🕐 Hours

Monday: 8:00 AM – 8:00 PM
Tuesday: Closed
Wednesday – Saturday: 8:00 AM – 8:00 PM
Sunday & Holidays: Closed

🅿️ Parking

Reserved parking for "MY BEAUTY SUITE"
TTC: 1 min walk from Fleet St at Bathurst St

WhatsApp Chat

Ready for a Truly Comfortable Cleaning Experience?

Experience the difference that Airflow® Guided Biofilm Therapy makes at my Fort York studio. No referral needed. No scraping. Just a brighter, healthier smile — and a hygienist who genuinely cares.

📞 Call Us Now